你提供的照片可能用于改善必应图片处理服务。
隐私政策
|
使用条款
无法使用此链接。检查链接是否以 "http://" 或 "https://" 开头,然后重试。
无法处理此搜索。请尝试其他图像或关键字。
试用视觉搜索
使用图像搜索、识别对象和文本、翻译或解决问题
将一个或多个图像拖到此处,
上传图像
或
打开相机
将图像放到此处以开始搜索
要使用可视化搜索,请在浏览器中启用相机
English
全部
搜索
图片
灵感
创建
集合
视频
地图
资讯
更多
购物
航班
旅游
笔记本
自动播放所有 GIF
在这里更改自动播放及其他图像设置
自动播放所有 GIF
拨动开关以打开
自动播放 GIF
图片尺寸
全部
小
中
大
特大
至少... *
自定义宽度
x
自定义高度
像素
请为宽度和高度输入一个数字
颜色
全部
仅限颜色
黑白
类型
全部
照片
剪贴画
素描
动画 GIF
透明
版式
全部
方形
横版
高
人物
全部
仅脸部
半身像
日期
全部
过去 24 小时
过去一周
过去一个月
去年
授权
全部
所有创作共用
公共领域
免费分享和使用
在商业上免费分享和使用
免费修改、分享和使用
在商业上免费修改、分享和使用
详细了解
清除筛选条件
安全搜索:
中等
严格
中等(默认)
关闭
筛选器
722×1024
gaviki.com
What does negative magni…
1918×642
chegg.com
Solved A lens has a magnification that is negative. What is | Chegg.com
626×474
appgecet.co.in
Is Magnification Positive or Negative? - AP PGECET
1200×675
hatchjs.com
What Does Negative Magnification Mean? (A Simple Explanation)
1600×815
Britannica
Magnification | Microscopy, Optics & Lenses | Britannica
928×862
howwhy.nfshost.com
Magnification
GIF
480×270
numerade.com
SOLVED:Explain the difference between a positive and negative ...
640×640
researchgate.net
Negative control group at 600x . magnification | D…
456×593
Miami University
Magnification
1323×801
quizlet.com
Describe a negative magnification. What is meant by a magnif | Quizlet
953×135
chegg.com
Solved A negative magnification for a mirror means | Chegg.com
715×402
biologysimple.com
Magnification - Biology Simple
791×186
chegg.com
Solved Explain the difference between a positive and | Chegg.com
320×320
researchgate.net
An example of highly positive (A) (magnific…
1126×137
chegg.com
Solved What is meant by a negative magnification for a | Chegg.com
320×320
researchgate.net
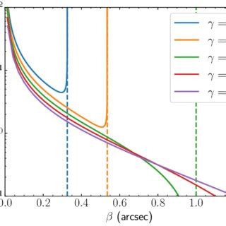
Negative magnification of image 2 as a functi…
1024×536
gkseries.com
If the magnification produced by a lens has a negative value, the image ...
2048×1282
photographylife.com
What Is Magnification in Photography?
2048×1098
photographylife.com
What Is Magnification in Photography?
960×640
photographylife.com
What Is Magnification in Photography?
319×220
Chegg
Solved What does a negative magnification indicate? The | Ch…
700×390
chegg.com
Solved A negative magnification for a mirror means that a O | Chegg.com
1312×1241
bliqphotonics.com
Making Sense of the Fine Details – Bliq Photonics
1699×707
chegg.com
Solved The negative sign in the magnification equation | Chegg.com
700×180
Chegg
Solved A negative magnification for a mirror means that -the | Chegg.com
786×404
chegg.com
Solved What is meant by a negative magnification for a | Chegg.com
700×348
chegg.com
Solved A negative magnification for a mirror means that: a. | Chegg.com
1024×830
Chegg
Solved 6. A negative magnification for a mirror me…
1280×960
medicalconnections.co.uk
Geometric Magnification
525×700
Chegg
Solved A negative magnification fo…
525×700
Chegg
Solved If the magnification o…
1280×720
storage.googleapis.com
Optics Magnification Formula at Robin Alexander blog
850×219
researchgate.net
(a) A schematic of image magnification by a negative index prism with ...
791×1024
studylib.net
Mirror and Magnification …
1024×768
storage.googleapis.com
X Ray Magnification Formula at Merrill Lavallee blog
某些结果已被隐藏,因为你可能无法访问这些结果。
显示无法访问的结果
报告不当内容
请选择下列任一选项。
无关
低俗内容
成人
儿童性侵犯
反馈