English
全部
搜索
图片
视频
地图
资讯
更多
购物
航班
旅游
笔记本
报告不当内容
请选择下列任一选项。
无关
低俗内容
成人
儿童性侵犯
时长
全部
短(小于 5 分钟)
中(5-20 分钟)
长(大于 20 分钟)
日期
全部
过去 24 小时
过去一周
过去一个月
去年
清晰度
全部
低于 360p
360p 或更高
480p 或更高
720p 或更高
1080p 或更高
源
全部
Dailymotion
Vimeo
Metacafe
Hulu
VEVO
Myspace
MTV
CBS
Fox
CNN
MSN
价格
全部
免费
付费
清除筛选条件
安全搜索:
中等
严格
中等(默认)
关闭
筛选器
0:42
YouTube
JAMA Network
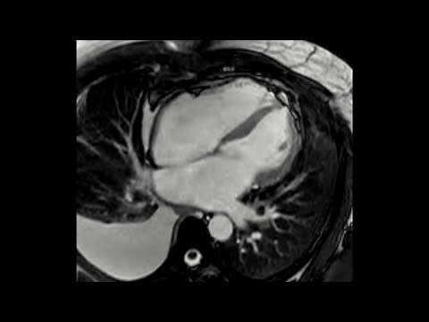
Cardiac Magnetic Resonance Finding in Constrictive Pericarditis
A patient presented with constrictive pericarditis. For pericardial characterization, cardiac magnetic resonance imaging (CMR) was performed. The real-time cine imaging sequence in the short-axis plane during free breathing is shown in the video, which demonstrates the displacement of the interventricular septum towards the left ventricle ...
已浏览 4176 次
2022年8月17日
Pericarditis Symptoms
4:14
Pericarditis: Symptoms, Pathophysiology, Causes, Diagnosis and Treatments, Animation
YouTube
Alila Medical Media
已浏览 30.5万 次
2020年10月12日
38:13
Pericardial Diseases | Clinical Medicine
YouTube
Ninja Nerd
已浏览 13.5万 次
2024年3月11日
5:09
Pericarditis - Overview (signs and symptoms, pathophysiology, diagnosis, treatment)
YouTube
Armando Hasudungan
已浏览 26.2万 次
2016年9月23日
热门视频
1:02
constrictive pericarditis
YouTube
Body Imaging e-club
已浏览 816 次
2018年8月2日
0:44
Cardiac Magnetic Resonance Showing Signs of Constrictive Physiology
YouTube
JAMA Network
已浏览 4396 次
2022年8月17日
0:12
Constrictive Pericarditis
YouTube
Md. Mashiul Alam
已浏览 8725 次
2016年12月6日
Pericarditis Treatment
8:12
Pericarditis, Cardiac Tamponade & Cardiomyopathy - Medical-Surgical - Cardiovascular | @LevelUpRN
YouTube
Level Up RN
已浏览 12.3万 次
2021年10月6日
7:15
Understanding Pericarditis
YouTube
Zero To Finals
已浏览 5.7万 次
2024年2月12日
12:37
Pericarditis | Nursing Management, Treatment of Pericardial Effusion, Friction Rub, & Pericardium
YouTube
RegisteredNurseRN
已浏览 66万 次
2016年8月25日
1:02
constrictive pericarditis
已浏览 816 次
2018年8月2日
YouTube
Body Imaging e-club
0:44
Cardiac Magnetic Resonance Showing Signs of Constrictive Ph
…
已浏览 4396 次
2022年8月17日
YouTube
JAMA Network
0:12
Constrictive Pericarditis
已浏览 8725 次
2016年12月6日
YouTube
Md. Mashiul Alam
4:31
Constrictive pericarditis
已浏览 6439 次
2020年4月12日
YouTube
Ahmed Mohsen
0:22
Constrictive Pericarditis | Pericardial Effusion
已浏览 1097 次
2022年10月2日
YouTube
Cardiology Insight
47:30
Constrictive Pericarditis
已浏览 2.8万 次
2022年4月18日
YouTube
Mayo Clinic
2:24
Mayo Clinic echocardiographic criteria for constrictive pericarditis
已浏览 928 次
3 个月之前
YouTube
Johnson's Cardiology
0:50
Constrictive Pericarditis
已浏览 4689 次
2019年9月4日
YouTube
JAMA Network
0:32
Constrictive Pericarditis
已浏览 972 次
2021年10月1日
YouTube
CTisus
1:13:48
26. Constrictive Pericarditis 🫀– Internal Medicine | Cardiology
已浏览 675 次
7 个月之前
YouTube
Conceptual Medicine
0:09
Constrictive Pericarditis on Ultrasound #pericarditis
已浏览 9.5万 次
2024年12月12日
YouTube
MedSurvival Mnemonics by Raza
15:55
Constrictive pericarditis diagnosis, echocardiography and treatment
已浏览 2.9万 次
2016年4月3日
YouTube
Georgios Chatziathanasiou
2:01
Chest X ray in Constrictive Pericarditis (Part 7)
已浏览 2355 次
2023年10月2日
YouTube
Medical Snippet
1:01:14
Hemodynamics 4: Constrictive pericarditis, case studies- Elias Ha
…
已浏览 9437 次
2021年1月21日
YouTube
Elias Hanna
4:59
What is constrictive pericarditis?
已浏览 5312 次
2022年4月6日
YouTube
Johnson's Cardiology And Medicine
0:55
Constrictive pericarditis
已浏览 7971 次
2019年12月8日
YouTube
CardioNerds
9:09
How to assess myocarditis with the help of cardiac MRI (CMR)
已浏览 1.6万 次
2017年9月26日
YouTube
Medmastery
4:14
Pericarditis: Symptoms, Pathophysiology, Causes, Diagno
…
已浏览 30.5万 次
2020年10月12日
YouTube
Alila Medical Media
20:35
Constrictive pericarditis: Etiology and presentation
已浏览 1.3万 次
2020年6月5日
YouTube
Aarambh Medicine
0:04
constrictive pericarditis, septal bounce
已浏览 1.7万 次
2016年2月20日
YouTube
Dr.sandeep kumar
0:46
Transthoracic Echocardiogram Showing Signs of Constrictive Ph
…
已浏览 1.2万 次
2022年8月17日
YouTube
JAMA Network
35:17
Constrictive pericarditis - 2D ECHO evaluation
已浏览 7595 次
2020年7月5日
YouTube
Cardiology and Beyond
5:09
Pericarditis - Overview (signs and symptoms, pathophysiology, diag
…
已浏览 26.9万 次
2016年9月23日
YouTube
Armando Hasudungan
56:34
Multimodality Imaging: Constrictive Pericarditis
已浏览 356 次
2023年8月15日
YouTube
CCC Live Cases
6:47
ECG Features of Acute Pericarditis
已浏览 4807 次
2023年2月27日
YouTube
E-Pulsepoints
0:19
Constrictive Pericarditis with tamponade - Echo Clip - The Ech
…
已浏览 1822 次
2019年1月21日
YouTube
The Echo Channel
25:47
Constrictive Pericarditis - Causes, Symptoms, Signs, Diagnosis & Ma
…
已浏览 3万 次
2023年9月14日
YouTube
Medicosis Perfectionalis
3:09
What Is Constrictive Pericarditis? - Cardiology Community
4 个月之前
YouTube
Cardiology Community
Constrictive Pericarditis Following Heart Transplant - American Colle
…
2016年3月1日
acc.org
观看更多视频
更多类似内容
反馈