English
全部
搜索
图片
视频
地图
资讯
更多
购物
航班
旅游
笔记本
报告不当内容
请选择下列任一选项。
无关
低俗内容
成人
儿童性侵犯
时长
全部
短(小于 5 分钟)
中(5-20 分钟)
长(大于 20 分钟)
日期
全部
过去 24 小时
过去一周
过去一个月
去年
清晰度
全部
低于 360p
360p 或更高
480p 或更高
720p 或更高
1080p 或更高
源
全部
Dailymotion
Vimeo
Metacafe
Hulu
VEVO
Myspace
MTV
CBS
Fox
CNN
MSN
价格
全部
免费
付费
清除筛选条件
安全搜索:
中等
严格
中等(默认)
关闭
筛选器
prevention.com
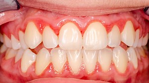
Doctors Explain Why You Should Never Ignore Your Painful, Swollen Gums
It could say a lot about your hormones, diet, or even signal a larger health problem.
2019年8月24日
Gingivitis Symptoms
0:56
Learn about Gingivitis or Gum Disease
YouTube
Dentogenesis
已浏览 4865 次
2024年2月6日
0:18
Identifying Signs of Gingivitis: A Comprehensive Guide
TikTok
dentallan
已浏览 160万 次
2024年10月26日
0:51
Gingivitis: Causes, Symptoms, and Treatment Explained - NBDHE Dental Hygiene Boards
YouTube
NBDHE - Dental Hygiene
已浏览 337 次
5 个月之前
热门视频
0:06
74K views · 91 reactions | Dentists won’t tell you this — but these 10 simple home remedies can calm swollen gums, ease pain, and help fight gum disease faster than you think. 醴 | Useful Tips | Facebook
Facebook
Useful Tips
已浏览 2.2万 次
1 周前
2:16
9.7K views · 66 reactions | Swollen gums, pain around the mouth, and drooling could be signs of #Noma—a severe, gangrenous disease of the mouth and face that mainly affects children aged 2-6. Early detection and treatment can save lives. If you notice any unusual symptoms in your child’s mouth, seek medical help immediately. #NoMoreNoma #WorldOralHealthDay | World Health Organization African Region | Facebook
Facebook
World Health Organization
已浏览 1803 次
6 天之前
Swollen Gums Reveal These 7 Things About Your Health
powerofpositivity.com
2023年10月5日
Gingivitis Causes
0:55
Gingivitis or Periodontal Disease? Difference with Dr. Howard Ong
YouTube
CareCredit
已浏览 809 次
2024年7月15日
0:46
Top 3 Gingivitis Treatments for Diabetics 🦷✨ #OralHealth #DiabetesCare
YouTube
Oral Clinic
已浏览 100 次
2024年7月22日
1:22
Periodontitis or Gum disease 3d animation include
YouTube
Healthy Horizons
已浏览 1329 次
3 个月之前
0:06
74K views · 91 reactions | Dentists won’t tell you this — but these 10
…
已浏览 2.2万 次
1 周前
Facebook
Useful Tips
2:16
9.7K views · 66 reactions | Swollen gums, pain around the mouth, an
…
已浏览 1803 次
6 天之前
Facebook
World Health Organization African Region
Swollen Gums Reveal These 7 Things About Your Health
2023年10月5日
powerofpositivity.com
Receding Gums: How to Fix Them, Prevention and Causes - Dentaly.org
1 个月前
dentaly.org
2:47
Should I See a Dentist for Persistent Swollen Gums?
已浏览 7 次
1 个月前
YouTube
The Pro Dentist
2:55
When Should I Get A Deep Cleaning For Swollen Gums?
1 个月前
YouTube
The Pro Dentist
3:08
When Do Swollen Gums Become a Dental Emergency?
已浏览 3 次
1 个月前
YouTube
The Pro Dentist
3:28
How Do I Identify Serious Gum Or Face Swelling?
3 周前
YouTube
The Pro Dentist
2:28
Is A Regular Dental Cleaning Enough For Swollen Gums?
已浏览 1 次
1 个月前
YouTube
The Pro Dentist
2:35
What Oral Products Irritate Swollen Gums?
已浏览 6 次
1 个月前
YouTube
The Pro Dentist
3:24
What Swollen Gum Symptoms Require a Dentist?
已浏览 1 次
1 个月前
YouTube
The Pro Dentist
3:17
What Causes Sudden Swelling In The Face Or Gums?
3 周前
YouTube
The Pro Dentist
2:49
Are Swollen Gums A Symptom Of Gingivitis?
1 个月前
YouTube
The Pro Dentist
3:23
What Are Signs Swollen Gums Need Professional Care?
1 个月前
YouTube
The Pro Dentist
0:10
4 Helpful Solutions for Swollen Gums #seniorhealthtips #seniorhe
…
已浏览 717 次
3 个月之前
YouTube
human vitality data
2:26
Why are my gums swollen?
已浏览 2 次
2 个月之前
YouTube
Dental Excellence of Memphis
3:21
How Long Can Swollen Gums Last Before a Dentist Visit?
1 个月前
YouTube
The Pro Dentist
0:21
Swollen gums problem? 😣Try these simple care tips for healthier gum
…
已浏览 182 次
1 个月前
YouTube
Simple Care Guide
0:39
Symptoms of a Wisdom Tooth Infection You Shouldn’t Ignore! 🔥 S
…
已浏览 144 次
1 个月前
TikTok
wisdomdentalclinic
Why is my gums swollen around one tooth ?
已浏览 1399 次
2024年7月25日
YouTube
Smilewide
Dr. Vic's Top Tips to Tame Swollen Gums with Braces! 🦷💡 Got braces? 😬
…
已浏览 10.7万 次
2023年8月7日
TikTok
jefferson_dental
#razzdental #fypシ #klinikgigijohorbahru #fyppppppp
…
已浏览 2.7万 次
2023年12月13日
TikTok
razzdental
Effective Natural Remedy for Swollen Gums
已浏览 20.3万 次
2021年12月26日
TikTok
drcherlyn
5:20
Swollen gums around tooth home remedy | Home Remedies for Swol
…
已浏览 4.9万 次
2020年5月4日
YouTube
Natural Home Remedies
Swollen Gums - Symptoms, Causes, Treatment, Pictures
2013年12月26日
hubpages.com
Understanding Scurvy: Red Swollen Gums and Vitamin C Deficiency
已浏览 88.4万 次
2024年4月7日
TikTok
drbergofficial
Common Symptoms of Gum Disease Explained
已浏览 8.1万 次
2024年8月10日
TikTok
klinikpergigianoriteeth
#drmaharjan #askdrmaharjan #nepalidentist #dentist #dental #d
…
已浏览 5万 次
2021年4月11日
TikTok
dentaltalks_drmaharjan
Dog Swollen Gums | Gingival Hyperplasia
已浏览 1.5万 次
2019年6月17日
YouTube
Dr. Lera @ Heron Lakes Animal Hospital
观看更多视频
更多类似内容
反馈